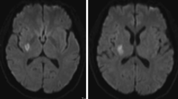
Se trata de un paciente de 51 años, con antecedentes de hipertensión arterial y diabetes. Tuvo una pérdida súbita de la fuerza en el lado izquierdo del cuerpo (miembro superior e inferior) asociado a pérdida del campo visual izquierdo. Al examen físico se confirmaron estos hallazgos. El déficit visual consistía en una hemianopsia homónima izquierda. La imagen muestra:
En esta secuencia de difusión de una resonancia magnética se aprecia una lesión isquémica (área blanca) en la cápsula interna derecha, en la parte más posterior del brazo posterior. Por esta razón el paciente no tiene comprometida la cara.
Interpretación: Un compromiso por clínica del tracto óptico derecho (hemianopsia homónima derecha) asociado a un déficit motor de origen capsular (miembro inferior y superior), nos indica que ha un compromiso del territorio de la arteria coroidea anterior. Esta arteria es rama directa de la arteria carótida interna, en su segmento comunicante. Emerge después de la arteria comunicante posterior y se dirige hacia atrás por la cisterna ambiens. Tiene dos segmentos, uno cisternal y otro plexal. El primero da las ramas críticas a la cápsula interna, tracto óptico (bajo el cual discurre), y algo del temporal. El segundo se introduce en el ventrículo lateral y ayuda a formar el plexo coroideo del ventrículo.
Su obstrucción puede ocurrir por un atero embolismo proveniente de la arteria carótida interna, de placas ateromatosas propias de la arteria coroidea o de manera iatrogénica (originada por intervención médica) durante una cirugía de aneurisma de aarteria comunicante posterior.
